Warning: Undefined array key "lazyLoad" in /www/wwwroot/mapledent.vn/wp-content/plugins/gutenverse/includes/block/class-post-featured-image.php on line 42
Khi Nào Nên Làm Răng Sứ Thẩm Mỹ? - Mapledent

Khi Nào Nên Làm Răng Sứ Thẩm Mỹ?

răng sứ thẩm mỹ

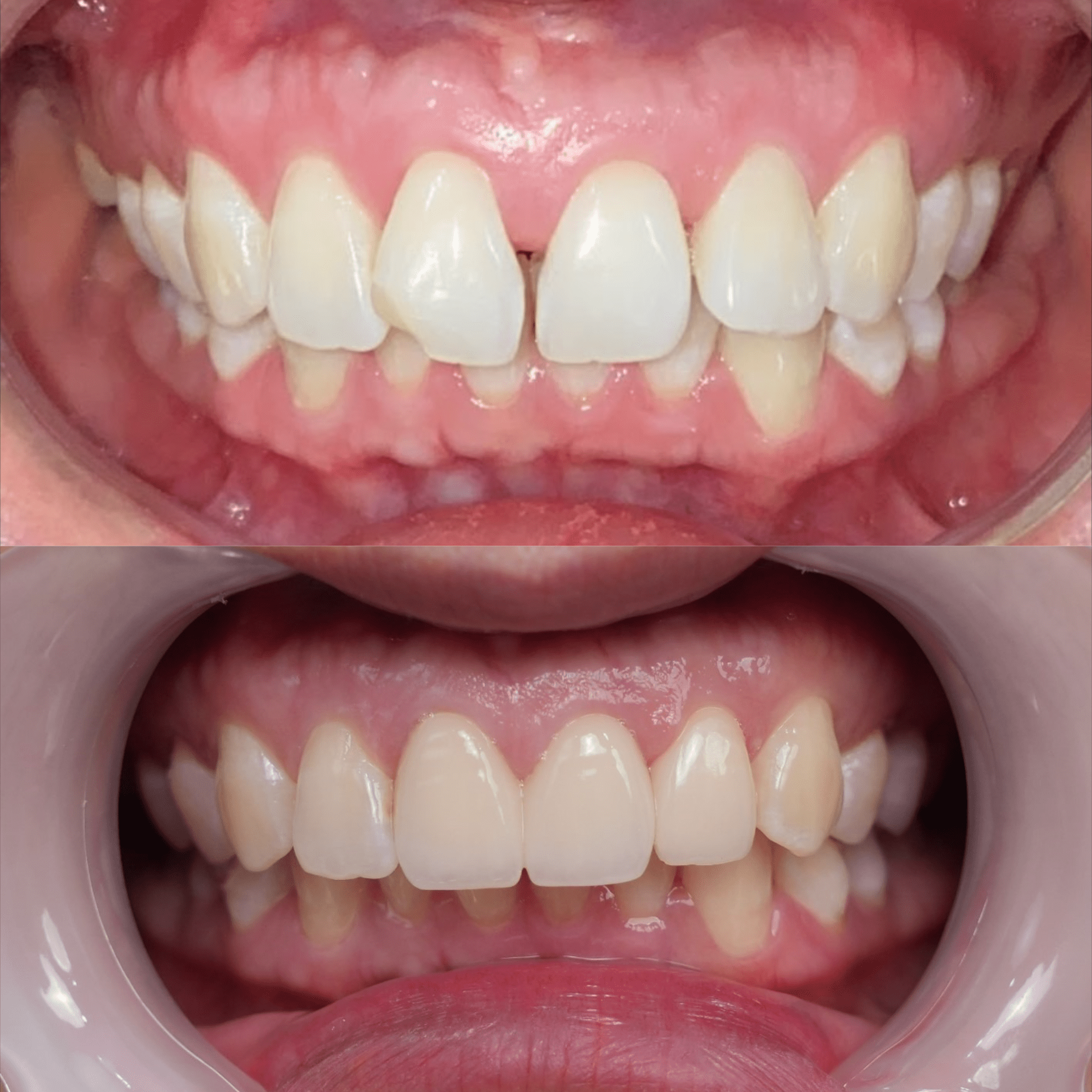
Răng sứ thẩm mỹ là giải pháp giúp cải thiện nụ cười nhanh chóng, mang lại hàm răng trắng sáng, đều và tự nhiên. Tuy nhiên, không phải ai cũng cần thực hiện phương pháp này.

Việc hiểu rõ khi nào nên làm răng sứ sẽ giúp bạn lựa chọn đúng phương pháp, tránh ảnh hưởng đến răng thật và tối ưu chi phí.

1. Răng Sứ Thẩm Mỹ Là Gì?

Răng sứ thẩm mỹ là phương pháp sử dụng mão sứ để bọc bên ngoài răng thật, giúp cải thiện:

  • màu sắc răng
  • hình dáng răng
  • chức năng ăn nhai

Phương pháp này thường được áp dụng trong các trường hợp răng có khuyết điểm về thẩm mỹ hoặc đã bị tổn thương.

2. Những Trường Hợp Nên Làm Răng Sứ

Dưới đây là những trường hợp phổ biến nên cân nhắc bọc răng sứ:

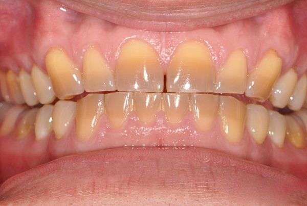
2.1 Răng Ố Vàng, Nhiễm Màu Nặng

răng nhiễm màu tetracycline bọc răng sứ thẩm mỹ

Nếu răng bị:

👉 Bọc răng sứ giúp cải thiện màu sắc nhanh chóng và rõ rệt

2.2 Răng Mẻ, Nứt Hoặc Yếu

răng mẻ bọc răng sứ thẩm mỹ

Răng bị mẻ hoặc đã điều trị tủy thường dễ vỡ.

👉 Làm răng sứ giúp:

  • bảo vệ răng thật
  • tăng độ bền khi ăn nhai

2.3 Răng Thưa, Không Đều Nhẹ

răng thưa bọc răng sứ thẩm mỹ

Với các trường hợp:

  • răng thưa nhẹ
  • răng không đều form

👉 Có thể cải thiện nhanh bằng răng sứ thay vì niềng răng kéo dài.

2.4 Răng Lệch Nhẹ

Nếu răng lệch ở mức độ nhẹ, việc chỉnh form bằng mão sứ có thể mang lại hiệu quả thẩm mỹ nhanh.

2.5 Răng Nhiễm Fluor Hoặc Xỉn Màu Nặng

Những trường hợp răng đổi màu sâu trong cấu trúc thường khó cải thiện bằng tẩy trắng.

👉 Răng sứ là giải pháp tối ưu về thẩm mỹ.

3. Khi Nào Không Nên Làm Răng Sứ?

Bạn không nên làm răng sứ nếu:

  • răng còn khỏe và chỉ có vấn đề nhẹ
  • lệch lạc nặng (nên niềng răng)
  • đang mắc bệnh nha chu chưa điều trị

👉 Trong những trường hợp này, bác sĩ sẽ tư vấn phương án phù hợp hơn để bảo tồn răng thật.

4. Làm Răng Sứ Có Ảnh Hưởng Đến Răng Thật Không?

Nếu thực hiện đúng kỹ thuật tại nha khoa uy tín:

  • không gây hại răng thật
  • đảm bảo chức năng ăn nhai
  • duy trì thẩm mỹ lâu dài

Ngược lại, nếu làm sai kỹ thuật có thể gây:

  • ê buốt kéo dài
  • viêm nướu
  • hỏng răng thật

5. Cách Giữ Răng Sứ Thẩm Mỹ Bền Đẹp

Sau khi làm răng sứ, bạn cần:

  • đánh răng đúng cách
  • sử dụng chỉ nha khoa
  • hạn chế ăn đồ quá cứng
  • khám định kỳ 6 tháng/lần

👉 Răng sứ có thể sử dụng từ 10–20 năm hoặc lâu hơn nếu chăm sóc đúng.

Răng sứ thẩm mỹ là giải pháp phù hợp cho nhiều trường hợp như răng ố màu, mẻ hoặc không đều. Tuy nhiên, bạn nên được bác sĩ thăm khám và tư vấn trước khi thực hiện để đảm bảo phù hợp với tình trạng răng.

Nếu bạn đang cân nhắc làm răng sứ thẩm mỹ, hãy đến hệ thống nha khoa tại Tây Ninh để được kiểm tra và tư vấn chi tiết.

Hệ thống nha khoa:

  • Toàn Tâm
  • An Tâm
  • Nhất Tâm
  • Titan

👉 Liên hệ ngay để được tư vấn miễn phí và thiết kế nụ cười phù hợp nhất.

Gọi ngay
Đặt hẹn
Chi nhánh
Bảng giá