Viêm nha chu là một trong những bệnh lý răng miệng phổ biến, ảnh hưởng trực tiếp đến nướu và các mô nâng đỡ răng. Nếu không được phát hiện và điều trị kịp thời, bệnh có thể gây tiêu xương hàm và thậm chí dẫn đến mất răng.
Nhiều người thường chủ quan khi thấy nướu chảy máu hoặc sưng nhẹ, nhưng đây có thể là dấu hiệu sớm của bệnh nha chu. Việc hiểu rõ nguyên nhân, dấu hiệu và cách điều trị sẽ giúp bảo vệ sức khỏe răng miệng lâu dài.
1. Viêm Nha Chu Là Gì?
Viêm nha chu là tình trạng viêm nhiễm xảy ra ở nướu và các mô nâng đỡ răng do vi khuẩn tích tụ trong mảng bám và cao răng.
Bệnh thường tiến triển theo hai giai đoạn:
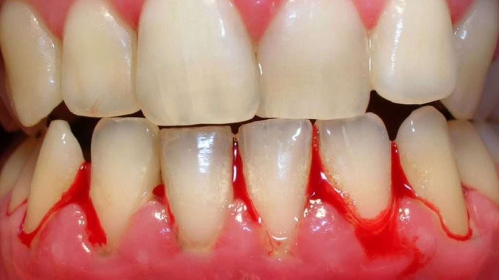
- Viêm nướu: nướu sưng đỏ, dễ chảy máu khi đánh răng
- Viêm nha chu: vi khuẩn tấn công sâu hơn vào mô quanh răng, gây tiêu xương và lung lay răng
Nếu không điều trị, bệnh có thể khiến răng yếu dần và rụng.

2. Nguyên Nhân Gây Viêm Nha Chu
Có nhiều yếu tố có thể dẫn đến viêm quanh răng, trong đó phổ biến nhất là:
2.1 Mảng Bám Và Cao Răng
Khi vệ sinh răng miệng không đúng cách, thức ăn và vi khuẩn tích tụ tạo thành mảng bám. Theo thời gian, mảng bám sẽ cứng lại thành cao răng và gây viêm nướu.

2.2 Vệ Sinh Răng Miệng Không Đúng Cách
Không đánh răng đều đặn hoặc không sử dụng chỉ nha khoa khiến vi khuẩn dễ phát triển quanh răng và nướu.
2.3 Thói Quen Hút Thuốc
Hút thuốc lá làm giảm khả năng đề kháng của nướu và tăng nguy cơ mắc bệnh nha chu.
2.4 Thay Đổi Nội Tiết
Phụ nữ mang thai hoặc người có sự thay đổi nội tiết tố cũng dễ gặp các vấn đề về nướu.
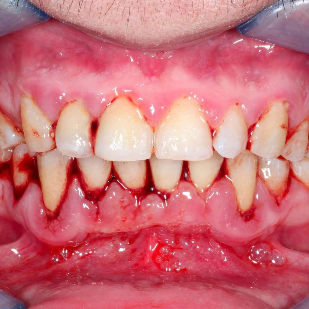
3. Dấu Hiệu Nhận Biết Viêm Nha Chu
Viêm nha chu thường tiến triển âm thầm. Tuy nhiên, bạn có thể nhận biết qua các dấu hiệu sau:
- nướu sưng đỏ
- chảy máu khi đánh răng
- hôi miệng kéo dài
- nướu tụt xuống
- răng lung lay
- đau khi ăn nhai
Nếu xuất hiện các dấu hiệu này, bạn nên đến nha khoa kiểm tra sớm để tránh bệnh tiến triển nặng hơn.
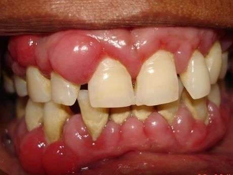
4. Viêm Nha Chu Có Nguy Hiểm Không?
Viêm nha chu không chỉ ảnh hưởng đến răng miệng mà còn có thể gây nhiều hậu quả nghiêm trọng nếu không điều trị.
Một số biến chứng có thể xảy ra:
- tiêu xương hàm
- tụt nướu
- răng lung lay
- mất răng sớm

Ngoài ra, nhiều nghiên cứu cho thấy bệnh nha chu còn có thể liên quan đến các vấn đề sức khỏe như bệnh tim mạch và tiểu đường
5. Cách Chữa Trị Viêm Nha Chu Hiệu Quả
Tùy vào mức độ bệnh, bác sĩ sẽ đưa ra phương pháp điều trị phù hợp.
5.1 Cạo Vôi Răng Và Làm Sạch Mảng Bám
Đây là bước quan trọng giúp loại bỏ cao răng – nguyên nhân chính gây viêm nướu và nha chu.
5.2 Điều Trị Nha Chu
Trong trường hợp bệnh nặng, bác sĩ có thể thực hiện các phương pháp điều trị chuyên sâu để làm sạch túi nha chu và kiểm soát vi khuẩn.
5.3 Chăm Sóc Răng Miệng Đúng Cách
Sau khi điều trị, người bệnh cần:
- đánh răng ít nhất 2 lần mỗi ngày
- sử dụng chỉ nha khoa
- khám răng định kỳ 6 tháng/lần
Những thói quen này giúp ngăn ngừa bệnh tái phát.
6. Phòng Ngừa Viêm Nha Chu Như Thế Nào?
Để giảm nguy cơ mắc viêm nha chu, bạn nên:
- vệ sinh răng miệng đúng cách
- hạn chế đồ ngọt và thuốc lá
- cạo vôi răng định kỳ
- khám nha khoa thường xuyên
Việc chăm sóc răng miệng tốt sẽ giúp giữ răng khỏe mạnh lâu dài.
7. Địa Chỉ Điều Trị Viêm Nha Chu Tại Tây Ninh
Nếu bạn đang gặp tình trạng viêm mô quanh răng hoặc các vấn đề răng miệng khác, việc lựa chọn nha khoa uy tín là rất quan trọng.
Tại Tây Ninh, hệ thống nha khoa với các chi nhánh:
được nhiều khách hàng tin tưởng khi thăm khám và điều trị răng miệng.
Các phòng khám đều được trang bị thiết bị nha khoa hiện đại và đội ngũ bác sĩ có kinh nghiệm, giúp quá trình điều trị diễn ra an toàn và hiệu quả.
Nếu bạn nhận thấy các dấu hiệu như nướu chảy máu, hôi miệng hoặc răng lung lay, hãy đến nha khoa để được kiểm tra sớm.
Hệ thống nha khoa tại Tây Ninh gồm Toàn Tâm – An Tâm – Nhất Tâm – Titan luôn sẵn sàng hỗ trợ thăm khám và tư vấn điều trị các vấn đề răng miệng.
👉 Liên hệ để đặt lịch khám răng và nhận tư vấn từ bác sĩ nha khoa.

