Xiết ăn răng ở trẻ em là tình trạng sâu răng khá phổ biến, thường xảy ra ở trẻ từ 2 – 7 tuổi. Nhiều phụ huynh gọi hiện tượng này là răng sún khi răng chuyển sang màu nâu hoặc đen và bị ăn mòn dần theo thời gian.
Nếu không được phát hiện và điều trị kịp thời, xiết ăn răng có thể khiến răng sữa bị phá hủy, gây đau nhức, ảnh hưởng đến việc ăn uống và thậm chí tác động đến sự phát triển của răng vĩnh viễn sau này. Vì vậy, việc hiểu rõ nguyên nhân, dấu hiệu và cách điều trị xiết ăn răng ở trẻ là điều rất cần thiết đối với phụ huynh.
1. Xiết ăn răng ở trẻ em là gì?
Xiết ăn răng ở trẻ em là tình trạng vi khuẩn trong khoang miệng tấn công men răng, khiến răng bị sâu và chuyển sang màu nâu đen. Theo thời gian, vi khuẩn sẽ làm mòn dần cấu trúc răng, khiến thân răng bị phá hủy và chỉ còn lại phần chân răng sát nướu.
Trẻ nhỏ rất dễ gặp tình trạng này vì men răng còn yếu và chưa phát triển hoàn thiện. Khi kết hợp với thói quen ăn nhiều đồ ngọt hoặc vệ sinh răng miệng chưa đúng cách, vi khuẩn sẽ phát triển nhanh và gây sâu răng.
Nếu xiết ăn răng kéo dài, trẻ có thể gặp phải các vấn đề như:
- Đau nhức răng kéo dài
- Chán ăn, ăn uống khó khăn
- Răng sữa bị hư sớm
- Ảnh hưởng đến mầm răng vĩnh viễn

2. Nguyên nhân khiến trẻ bị xiết ăn răng
Xiết ăn răng ở trẻ em có thể xuất phát từ nhiều nguyên nhân khác nhau, trong đó phổ biến nhất là thói quen ăn uống và vệ sinh răng miệng.
2.1 Ăn nhiều đồ ngọt và nước uống có đường
Trẻ em thường thích các loại bánh kẹo, nước ngọt hoặc sữa có đường. Khi tiêu thụ quá nhiều thực phẩm này, vi khuẩn trong khoang miệng sẽ sử dụng đường để tạo ra axit, từ đó phá hủy men răng và gây sâu răng.
Nếu trẻ ăn đồ ngọt thường xuyên nhưng không vệ sinh răng miệng đúng cách, nguy cơ xiết ăn răng sẽ tăng cao.

2.2 Chế độ dinh dưỡng thiếu khoáng chất
Chế độ ăn thiếu các dưỡng chất như canxi, fluor, vitamin D và khoáng chất có thể khiến men răng yếu hơn bình thường. Điều này làm răng dễ bị vi khuẩn tấn công và gây sâu răng.
Việc xây dựng thực đơn đầy đủ dinh dưỡng cho trẻ đóng vai trò quan trọng trong việc bảo vệ răng sữa và ngăn ngừa xiết ăn răng.
2.3 Vệ sinh răng miệng chưa đúng cách
Nhiều trẻ chưa được hướng dẫn chải răng đúng cách nên thường:
- Đánh răng quá nhanh
- Chải ngang làm mòn cổ răng
- Không đánh răng sau khi ăn
Điều này khiến mảng bám và vi khuẩn tích tụ trên răng, lâu ngày sẽ gây sâu răng và xiết ăn răng.
2.4 Thói quen ăn uống không tốt
Một số thói quen thường gặp ở trẻ nhỏ có thể làm tăng nguy cơ xiết ăn răng, ví dụ:
- Ngậm cơm lâu trong miệng
- Nhai không kỹ
- Ăn vặt nhiều lần trong ngày
Những thói quen này khiến thức ăn bám lâu trên răng, tạo môi trường thuận lợi cho vi khuẩn phát triển.
2.5 Yếu tố bẩm sinh
Một số trẻ có men răng yếu bẩm sinh, khiến răng dễ bị sâu hơn so với bình thường. Trong trường hợp này, việc chăm sóc răng miệng và kiểm tra nha khoa định kỳ là rất quan trọng.
3. Dấu hiệu nhận biết xiết ăn răng ở trẻ em
Xiết ăn răng thường tiến triển qua nhiều giai đoạn khác nhau. Phụ huynh có thể nhận biết thông qua các dấu hiệu sau:
3.1 Giai đoạn đầu của xiết ăn răng
Ở giai đoạn đầu, răng bắt đầu xuất hiện đốm nâu hoặc đen nhỏ trên bề mặt. Trẻ thường chưa có cảm giác đau nên phụ huynh rất dễ bỏ qua dấu hiệu này.
3.2 Giai đoạn trung bình
Khi sâu răng tiến triển nặng hơn, phần thân răng có thể bị mòn đến một nửa. Trẻ bắt đầu cảm thấy ê buốt khi ăn uống, đặc biệt khi ăn đồ nóng hoặc lạnh.

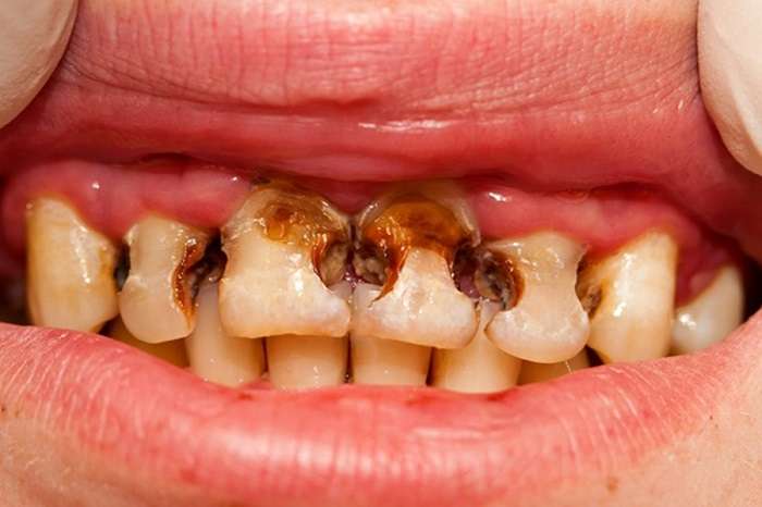
3.3 Giai đoạn nặng
Ở giai đoạn này, thân răng có thể bị phá hủy gần như hoàn toàn, chỉ còn lại chân răng sát nướu. Trẻ có thể bị đau nhức kéo dài, sưng nướu hoặc thậm chí sốt.
Nếu phát hiện tình trạng này, phụ huynh nên đưa trẻ đến nha khoa sớm để được điều trị.

4. Phương pháp điều trị xiết ăn răng tại nha khoa
Tùy vào mức độ sâu răng, bác sĩ sẽ đưa ra phương pháp điều trị phù hợp.
4.1 Tái khoáng răng
Phương pháp này thường áp dụng khi sâu răng mới ở giai đoạn đầu. Bác sĩ sẽ sử dụng dung dịch chứa fluor và canxi để tái tạo men răng và ngăn vi khuẩn phát triển.
4.2 Trám răng
Nếu răng đã bị sâu nhưng chưa quá nặng, bác sĩ sẽ:
- Làm sạch vùng răng sâu
- Loại bỏ mô răng bị hư
- Trám lại bằng vật liệu nha khoa
Trám răng giúp bảo tồn răng sữa và ngăn sâu răng lan rộng.
4.3 Nhổ răng
Trong trường hợp răng bị phá hủy hoàn toàn, bác sĩ có thể chỉ định nhổ răng sữa để tránh nhiễm trùng và bảo vệ các răng bên cạnh.
5. Một số cách giảm đau xiết ăn răng tại nhà
Một số nguyên liệu tự nhiên có thể giúp giảm đau tạm thời khi trẻ bị xiết ăn răng.
5.1 Tỏi và gừng
Tỏi và gừng có tính kháng khuẩn và chống viêm, giúp hạn chế sự phát triển của vi khuẩn gây sâu răng.
Phụ huynh có thể nghiền nhỏ hỗn hợp tỏi và gừng, sau đó đắp lên vùng răng bị sâu trong vài phút để giảm đau.

5.2 Dầu đinh hương
Dầu đinh hương là nguyên liệu thường được sử dụng để giảm đau răng và kháng khuẩn. Chỉ cần dùng tăm bông chấm một lượng nhỏ lên vùng răng đau.
5.3 Trà xanh
Súc miệng bằng nước trà xanh có thể giúp giảm vi khuẩn trong khoang miệng và hạn chế sâu răng phát triển.

Tuy nhiên, các phương pháp này chỉ mang tính hỗ trợ tạm thời. Trẻ vẫn cần được kiểm tra và điều trị tại nha khoa.
6. Cách phòng ngừa xiết ăn răng ở trẻ
Để hạn chế nguy cơ xiết ăn răng, phụ huynh nên:
- Hướng dẫn trẻ đánh răng ít nhất 2 lần mỗi ngày
- Hạn chế cho trẻ ăn bánh kẹo và nước ngọt
- Bổ sung thực phẩm giàu canxi và vitamin
- Tập cho trẻ súc miệng sau khi ăn
- Đưa trẻ khám nha khoa định kỳ 6 tháng/lần
Việc chăm sóc răng miệng đúng cách từ nhỏ sẽ giúp trẻ có hàm răng khỏe mạnh và phát triển tốt hơn.
7. Thăm khám và điều trị xiết ăn răng
Nếu phụ huynh nhận thấy trẻ có dấu hiệu xiết ăn răng, răng sún hoặc sâu răng, nên đưa bé đến nha khoa để được bác sĩ kiểm tra càng sớm càng tốt. Việc thăm khám kịp thời sẽ giúp phát hiện sớm các vấn đề răng miệng và có phương pháp điều trị phù hợp, từ đó bảo vệ răng sữa và hỗ trợ sự phát triển khỏe mạnh của răng vĩnh viễn.
Tại Nha khoa Maple, trẻ sẽ được thăm khám bởi đội ngũ bác sĩ nhiều kinh nghiệm trong điều trị sâu răng và chăm sóc răng trẻ em, cùng hệ thống trang thiết bị hiện đại, quy trình điều trị nhẹ nhàng và an toàn.
👉 Liên hệ Nha khoa Maple để được tư vấn và đặt lịch khám răng cho trẻ ngay hôm nay.

